
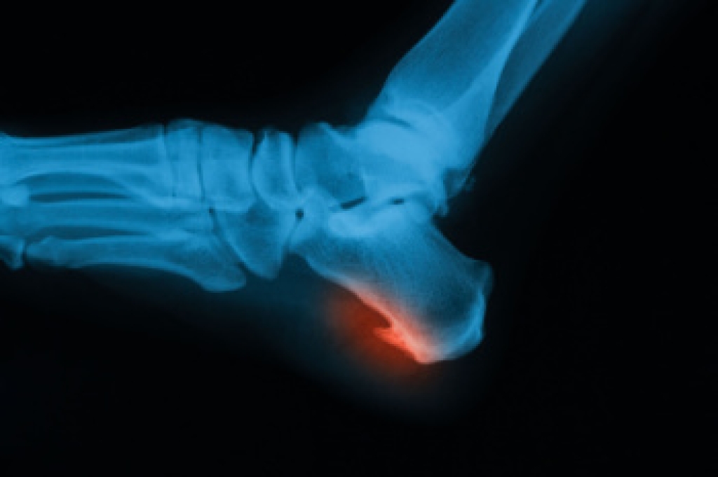
The feet contain 26 bones each, creating numerous joints and surfaces where bone spurs may develop from repeated stress, inflammation, or injury. These bony growths, known as osteophytes, often form when the body responds to pressure or friction. If conservative care does not ease symptoms, a podiatrist may suggest surgery to remove the bone spur or address any tight tissues that may be contributing to discomfort. Resection surgery trims away the excess bone, and the type depends on the location. A dorsal spur excision is on the top of the foot, an inferior heel spur resection is under the heel, and a posterior heel spur removal is at the back of the heel. If soft tissue is involved, plantar fascia release or partial Achilles tendon release may be employed. In cases of severe joint damage, joint fusion can stabilize the area while joint replacement can restore movement. If you are experiencing this type of foot pain, it is suggested that you schedule an appointment with a podiatrist for an exam and appropriate treatment options.
Foot surgery is sometimes necessary to treat a foot ailment. To learn more, contact one of our podiatrists of Foot Doctors of Utica. Our doctors will assist you with all of your foot and ankle needs.
When Is Surgery Necessary?
Foot and ankle surgery is generally reserved for cases in which less invasive, conservative procedures have failed to alleviate the problem. Some of the cases in which surgery may be necessary include:
- Removing foot deformities like bunions and bone spurs
- Severe arthritis that has caused bone issues
- Cosmetic reconstruction
What Types of Surgery Are There?
The type of surgery you receive will depend on the nature of the problem you have. Some of the possible surgeries include:
- Bunionectomy for painful bunions
- Surgical fusion for realignment of bones
- Neuropathy decompression surgery to treat nerve damage
Benefits of Surgery
Although surgery is usually a last resort, it can provide more complete pain relief compared to non-surgical methods and may allow you to finally resume full activity.
Surgical techniques have also become increasingly sophisticated. Techniques like endoscopic surgery allow for smaller incisions and faster recovery times.
If you have any questions, please feel free to contact our offices located in Herkimer, and New Hartford, NY . We offer the newest diagnostic and treatment technologies for all your foot care needs.



